Horse landed badly from jump and became acutely lame. On initial presentation, horse had severe swelling in the flexor tendon region.
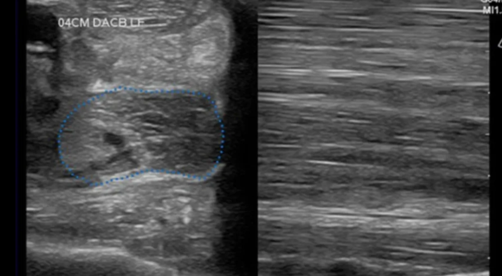
Ultrasound examination confirmed tendonitis of the SDF. Small multifocal tears and diffuse hypoechogenicity was visualized in approximately 2/3 of the tendon’s length in the metacarpal region.
Initial treatment included icing, anti-inflammatories, bandaging, and wedge pads taped to the foot to help elevate the heel.
Platelet-rich plasma was also infused into the lesion under ultrasound guidance.
Current Status: 3 months post-injury-Horse is sound at the walk and is being tack-walked.






